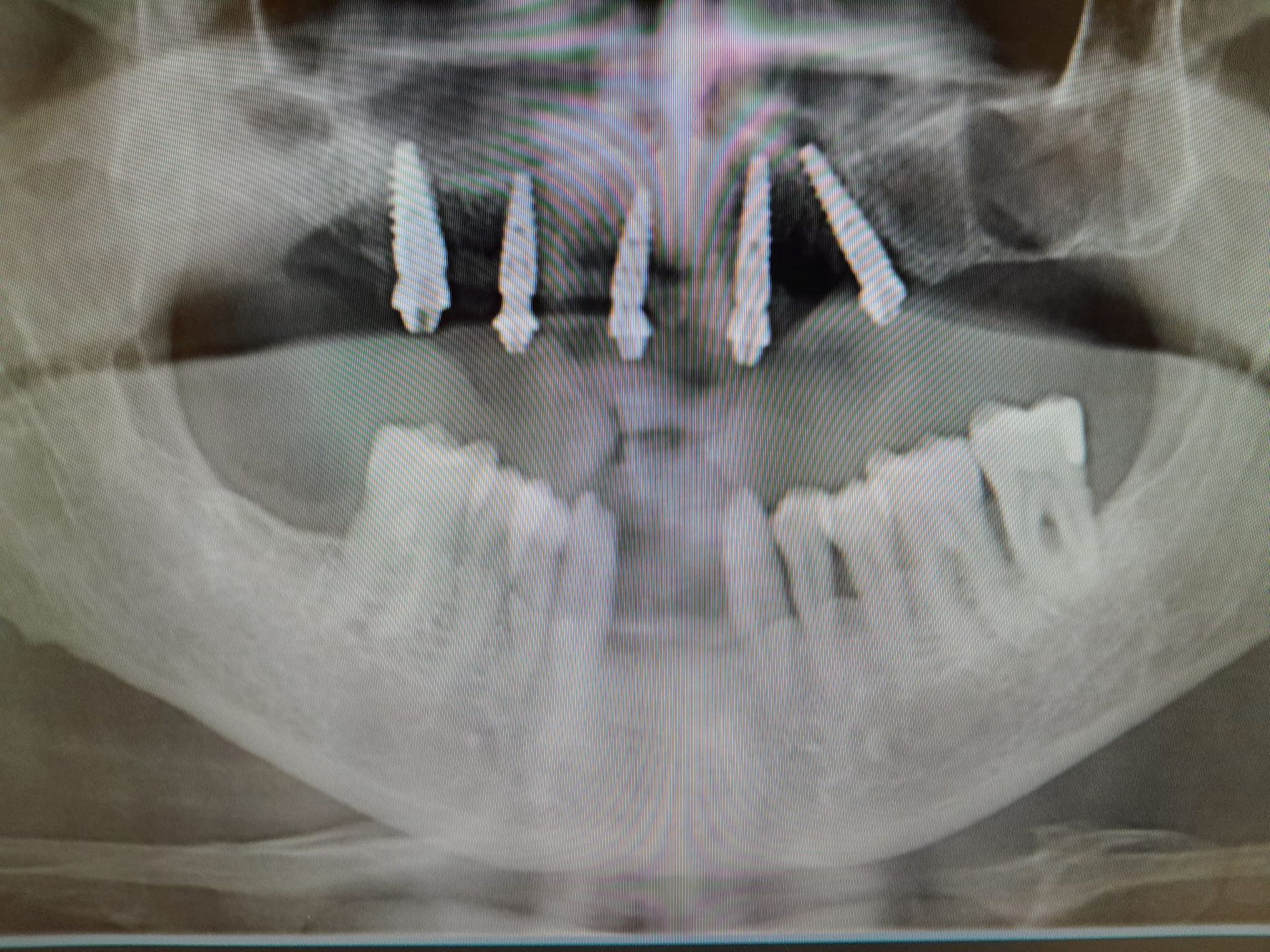
L'Implantologia
L’implantologia dentale è una branca dell’odontoiatria che ha l’obiettivo di ripristinare i denti mancanti mediante l’inserimento di radici artificiali in titanio (impianti dentali).
I denti artificiali sono concepiti per sostituire i denti veri ma mancanti sia nell’estetica
che nella funzione masticatoria.
Le tecniche di implantologia dentaria permettono una riabilitazione permanente della masticazione
ed evitano i fastidi legati all’utilizzo di protesi mobili, assicurando un risultato estetico
pari a quello dei denti naturali.












